Cancer manifestations found largely due to a hormone suppressing immune cells.
Researchers at UT Southwestern Medical Center have discovered how a hormone interacts with a receptor on the surface of immune cells to shield cancer cells from the body’s natural defences.
“Myeloid cells are among the first group of immune cells recruited to tumors, but very quickly these tumor-fighting cells turn into tumor-supporting cells. Our study suggests that receptors on these myeloid cells get stimulated by this hormone and end up suppressing the immune system,” said Cheng Cheng “Alec” Zhang, Ph.D., Professor of Physiology and a member of the Harold C. Simmons Comprehensive Cancer Center at UT Southwestern.
Current immunotherapies, such as immune checkpoint inhibitors, are effective for only about 20–30% of cancer patients, Dr. Zhang said, suggesting that there are multiple ways that cancers evade attack from the immune system.
Several years ago, researchers in the Zhang Lab studying cancer-fighting immune cells called myeloid cells identified an inhibitory receptor called LILRB4. Stimulating this receptor blocked the myeloid cells’ ability to attack tumors.
Dr. Zhang, and his colleagues then did a genome-wide screen of all proteins that might interact with LILRB4.
A promising hit was a hormone called Secretogranin II (SCG2). Although researchers have suggested that SCG2 plays a role in immune response, its function and receptor were unknown. Experiments have confirmed that SCG2 binds to LILRB4, kicking off a signaling cascade that turned off the cancer-fighting abilities of myeloid cells and inhibited their ability to recruit cancer-fighting T cells to tumors.
What needs to be mentioned is, Secretogranin II (SCG2) is a protein that plays a role in the packaging and release of peptide hormones and neuropeptides. It’s part of the Chromogranin / Secretogranin family and acts as a precursor for smaller bioactive peptides. SCG2’s involvement in various biological processes, including neuroendocrine function and cancer development, is an area of ongoing research.
During the experiments, LILRB4 injected cancer cells that produced SCG2 grew rapidly as tumors. Treating with an antibody that blocks LILRB4 significantly slowed cancer growth. Together, these experiments suggest that interactions between LILRB4 and SCG2 allow cancer to grow unchecked by myeloid cells, T cells, and potentially other immune cell types.
Dr. Zhang suggested that disrupting this interaction could someday offer a new immunotherapy option to treat cancer.
Conversely, because this interaction neutralises myeloid cells’ immune activity, delivering extra SCG2 could be a promising treatment for autoimmune or inflammatory disorders spurred by myeloid cells. Dr. Zhang and his colleagues plan to investigate both ideas in future studies.
MENANCE OF SCG2 –
SCG2 and Bladder Cancer:
A study investigating SCG2 in bladder cancer found that it promoted the proliferation, migration, and invasion of bladder cancer cells. The study also found that SCG2 activates signaling pathways (MEK/Erk and MEK/IKK/NF-κB) and promotes M2 macrophage polarization, both of which contribute to bladder cancer progression.
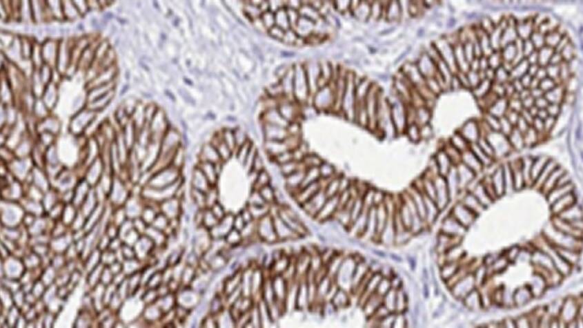
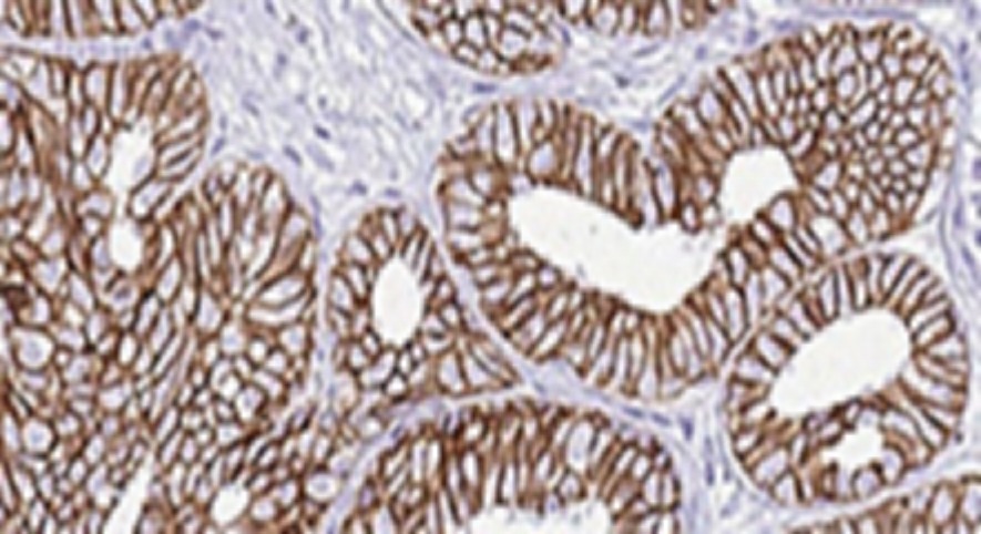
SCG2 and Colorectal Cancer:
In colorectal cancer (CRC), SCG2 has been linked to both poor prognosis and immune infiltration. One study found that SCG2 expression was associated with worse outcomes in CRC patients and that it might play a role in regulating tumor immunity. Another study indicated that SCG2 may impair tumor growth and angiogenesis in CRC.
SCG2 and Other Cancers:
SCG2 has also been implicated in other cancers, including lung adenocarcinoma, where it is involved in the tumor microenvironment.
SCG2’s exact role in various biological processes and diseases is still being investigated. Further research is needed to fully understand its mechanisms of action and potential as a therapeutic target or biomarker.
Team Maverick
Indian Railways Deploys AI Enabled Intrusion Detection System to Prevent Elephant Collisions in 141 RKms on NF Railway
Further Tenders Awarded for 981 RKms to Scale Up AI Intrusion Detection Across Indian Rail…








